Plunging Ranula

As Thanksgiving approaches in the US and the time of feasting nears, we gather together today to digest (pun intended) an uncommon cause of submandibular swelling in children. That is, of course, the Ranula. No, it’s not the bulging belly of a baby frog, as the name suggests; it’s a salivary pseudocyst in the floor of the mouth. Any swelling ABOVE the neck, such as periorbital cellulitis, Pott’s Puffy Tumor, or superior vena cava syndrome, gives us pause. But swelling OF the mouth or neck area? That quickly causes dry mouth and even a lump in the throat (literally and figuratively). I’m looking at you hereditary angioedema, mumps, and uvulitis! Today we dish up a serving of scrumptious salivary succulence. Be sure to scroll down for more on this juicy diagnosis of plunging ranula.
Plunging Ranula – Pathophysiology
- Best to first define terms, as the specific names denote the underlying pathophysiology
- Ranula
- Benign pseudocyst arising from the sublingual salivary gland from one of the many Ducts of Rivinus
- Plunging Ranula
- Ranula that “plunges” below the mylohyoid muscle to the submandibular space and can occupy deeper spaces in the anterior cervical region
- Ranula
- Causes
- Congenitally imperforate salivary gland duct
- Direct trauma to the sublingual gland
- Defect of mylohyoid muscle
- Herniation of sublingual gland through mylohyoid muscle
Plunging Ranula – Presentation
- Usually diagnosed in early adulthood between 2nd and 3rd decade, but can be diagnosed in children
- Unilateral, progressive, or recurrent painless neck swelling without associated oral swelling
- Kids under 5 more commonly present with some combination of the following:
- Lingual swelling
- Snoring
- Obstructive sleep apnea
- Dysphagia
- Failure to thrive
- Upper airway obstruction
- Kids under 5 more commonly present with some combination of the following:
Plunging Ranula- Diagnosis
- Differential
- Abscess
- Thyroglossal duct cyst
- Branchial Cleft cyst
- Lymphatic malformation
- Lipoma
- Reactive lymph nodes
- Lymphatic malignancy
- Clinical Diagnosis
- Unilateral, painless, submandibular swelling without oral involvement likely signifies a ranula, but one must remain aware of other, more dangerous imitators
- Imaging not needed, but is helpful to distinguish from other pathology
- Unilateral, painless, submandibular swelling without oral involvement likely signifies a ranula, but one must remain aware of other, more dangerous imitators
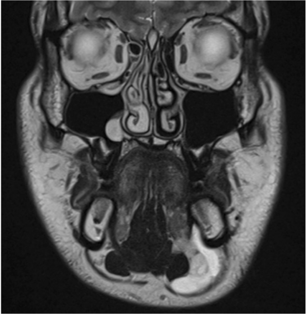
- Imaging
- Ultrasound
- Computed Tomography
- Magnetic Resonance Imaging
- The presence of a ‘‘tail sign’’ (indicating communication between the collapsed sublingual and submandibular space over the posterior edge of the mylohyoid muscle) supports the diagnosis of a plunging ranula. Will be seen on all imaging modalities.

Annina Lyly, Eeva Castrén, Johanna Aronniemi & Tuomas
Klockars (2017) Plunging ranula – patient characteristics, treatment, and comparison
between different populations, Acta Oto-Laryngologica, 137:12, 1271-1274, DOI:
10.1080/00016489.2017.1357082
Plunging Ranula- Treatment
- ENT consult/referral
- Aspiration
- Ablation
- Transoral excision
- Marsupialization
Moral of the Morsel
- More chilling than a polar plunge. A ranula is a benign pseudocyst arising from the submandibular salivary gland that can “plunge” into deeper neck spaces.
- Don’t get choked up. As always, we must stay vigilant, as ranulas in younger children can present with upper airway obstruction, dysphagia or even failure to thrive.
- Rethink, review, re-examine, and reduce radiation. Imaging is not necessary for diagnosis but may be helpful to distinguish from other pathology.
- Time to Dig Deeper. Other, more dangerous diagnoses, such as abscess and deep space infection must be considered.
- #Dispo. Outpatient ENT referral is the most common disposition from the ED.
References
- Kokong, D., Iduh, A., Chukwu, I., Mugu, J., Nuhu, S., & Augustine, S. (2017). Ranula: Current Concept of Pathophysiologic Basis and Surgical Management Options. World Journal of Surgery, 41(6), 1476–1481. https://doi.org/10.1007/s00268-017-3901-2
- Liman, A. R. U. A., Tuang, G. J., & Mansor, M. (2021). Plunging Ranula. In Ear, Nose and Throat Journal (Vol. 100, Issue 10_suppl, pp. 1004S-1005S). SAGE Publications Ltd. https://doi.org/10.1177/0145561320927828
- Lyly, A., Castrén, E., Aronniemi, J., & Klockars, T. (2017). Plunging ranula–patient characteristics, treatment, and comparison between different populations. Acta Oto-Laryngologica, 137(12), 1271–1274. https://doi.org/10.1080/00016489.2017.1357082

